Uma pesquisa de iniciação científica realizada no curso de Ciência da Computação da Universidade Federal de Alfenas (Unifal-MG) desenvolveu uma ferramenta com inteligência artificial (IA) que pode ajudar no diagnóstico de tumores cerebrais.
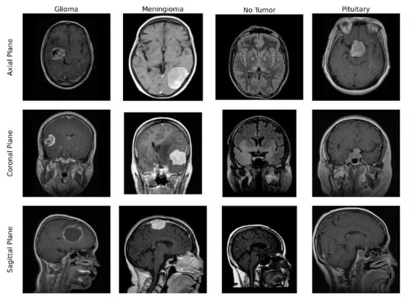
A ferramenta é capaz de fazer a classificação de tumores cerebrais a partir de imagens de ressonância magnética e, no estudo, alcançou uma precisão de 99,75% na identificação de quatro categorias, sendo três tumores – glioma, meningioma, adenoma de hipófise – e cérebro saudável.

“O intuito desse trabalho é fornecer uma ferramenta para auxiliar os profissionais da saúde a realizar o diagnóstico de tumores cerebrais obtendo um resultado mais preciso”, afirmou o pesquisador Lucas Ferreira.
A pesquisa utilizou uma rede pré-treinada e fez o ajuste de quase seis milhões de parâmetros com base em um banco de dados de ressonâncias magnéticas.
O projeto utilizou deep learning (aprendizado profundo) para extrair características relevantes de cada uma das categorias catalogadas e alimentou o a IA para que ela fizesse a classificação.
Após um treinamento com mais de cinco mil imagens, o aplicativo foi testado fazendo a análise de 1.311 imagens.
“Essas imagens não tem o corte do mesmo jeito, na mesma dimensão, às vezes é horizontal, às vezes é vertical, então a gente tem vários tipos de corte do cérebro para poder fazer esse tipo de análise. Então, dessas 1.300 que a gente fez, essa rede errou só um”, disse a professora Ângela Leite Moreno, orientadora do projeto.
A ferramenta trabalha com as chamadas redes convolucionais, que funcionam de forma parecida com a visão humana no reconhecimento de objetos.
“Ao olharmos para algo novo, primeiro percebemos formas simples, como linhas e cores, e, à medida que focamos mais, conseguimos identificar detalhes complexos até reconhecermos o que estamos vendo. Da mesma forma, essas redes analisam imagens de ressonância magnética, começando por características básicas até identificarem padrões específicos que ajudem a distinguir as imagens entre diferentes tipos de tumores cerebrais e cérebros saudáveis”, explica Ferreira.
A universidade já começou as tratativas para registrar a patente do software para que seja disponibilizado exclusivamente para hospitais.
“A nossa ideia não é em nenhum momento substituir médico, é auxiliar para ter um diagnóstico mais preciso dessas doenças”, disse a pesquisadora.
O próximo passo da pesquisa será criar uma ferramenta que permita monitorar a evolução dos tumores cerebrais diagnosticados e avaliar os efeitos dos tratamentos aplicados nos pacientes. Para isso, a pesquisadora está formando uma parceria com o Hospital das Clínicas da USP de Ribeirão Preto e com um pesquisador de engenharia elétrica da Unesp de Ilha Solteira.
“A gente só identificar não é o suficiente. A gente precisa saber se o tratamento tá sendo eficaz, não tá sendo eficaz”, afirmou Ângela.

